<?xml version="1.0" encoding="UTF-8"?>
<rss version="2.0"
	xmlns:content="http://purl.org/rss/1.0/modules/content/"
	xmlns:wfw="http://wellformedweb.org/CommentAPI/"
	xmlns:dc="http://purl.org/dc/elements/1.1/"
	xmlns:atom="http://www.w3.org/2005/Atom"
	xmlns:sy="http://purl.org/rss/1.0/modules/syndication/"
	xmlns:slash="http://purl.org/rss/1.0/modules/slash/"
	>

<channel>
	<title>Cardio Blog &#187; Szív CT</title>
	<atom:link href="http://www.cardioblog.hu/tema/sziv-ct/feed/" rel="self" type="application/rss+xml" />
	<link>http://www.cardioblog.hu</link>
	<description>EKG kvíz haladóknak</description>
	<lastBuildDate>Tue, 12 May 2026 17:55:46 +0000</lastBuildDate>
	<language>en</language>
	<sy:updatePeriod>hourly</sy:updatePeriod>
	<sy:updateFrequency>1</sy:updateFrequency>
	<generator>http://wordpress.org/?v=3.1.4</generator>
		<item>
		<title>Szívtranszplantált betegek coronaria státuszának követése non-invazív módon</title>
		<link>http://www.cardioblog.hu/sziv-ct/szivtranszplantalt-betegek-coronaria-statuszanak-kovetese-non-invaziv-modon/</link>
		<comments>http://www.cardioblog.hu/sziv-ct/szivtranszplantalt-betegek-coronaria-statuszanak-kovetese-non-invaziv-modon/#comments</comments>
		<pubDate>Sat, 04 Jun 2016 08:13:39 +0000</pubDate>
		<dc:creator>Sziv_CT_Major</dc:creator>
				<category><![CDATA[Szív CT]]></category>

		<guid isPermaLink="false">http://www.cardioblog.hu/?p=3209</guid>
		<description><![CDATA[A végstádiumú szívelégtelenség definitív terápiája a szívtranszplantáció. A modern kilökődésgátló terápiáknak köszönhetően a szívtranszplantáció hosszú távú túlélése az elmúlt években jelentősen javult.  A nemzetközi adatok alapján az egy éves túlélés 85-90%, míg a három éves túlélés megközelíti a 75%-ot.  A &#8230; <a href="http://www.cardioblog.hu/sziv-ct/szivtranszplantalt-betegek-coronaria-statuszanak-kovetese-non-invaziv-modon/">Tovább olvasom <span class="meta-nav">&#8594;</span></a>]]></description>
			<content:encoded><![CDATA[<p>A végstádiumú szívelégtelenség definitív terápiája a szívtranszplantáció. A modern kilökődésgátló terápiáknak köszönhetően a szívtranszplantáció hosszú távú túlélése az elmúlt években jelentősen javult.  A nemzetközi adatok alapján az egy éves túlélés 85-90%, míg a három éves túlélés megközelíti a 75%-ot.  A szervátültetést követő első egy évben a túlélést limitáló legfontosabb kórokok az akut graft kilökődés, és a különböző infekciók, míg egy év elteltével az akut kilökődés valószínűsége lecsökken, és a fertőzések mellett előtérbe kerül a malignus betegségek és az allograft vasculopathia jelentősége.</p>
<p>Az <strong>allograft vasculopathia</strong> egy a koszorúereket érintő progresszív betegség, melynek hátterében számos kórok etiológiai szerepe valószínűsíthető, azonban a leginkább elfogadott álláspont szerint a betegség egy immunmediált késői kilökődési folyamat, melynek incidenciája az idő előrehaladtával egyre nő. Tíz évvel a szívtranszplantációt követően a betegek közel felében a betegség kimutatható.  A kórkép jellemzően az intima diffúz, koncentrikus megvastagodásával jár, mely az epicardialis artériákat, arteriolákat, kapillárisokat és a vénákat egyaránt érintheti. Az artériák intima megvastagodás okozta kalibercsökkenése myocardium ischaemia kialakulásához vezet. A beültetett szervek afferens és efferens beidegzésének hiánya miatt a betegek ritkán számolnak be anginás panaszokról, így a kórkép jellemzően előrehaladott állapotban kerül felismerésre, amikor a krónikus ischaemia okozta szívelégtelenség tünetei megjelennek. Ebből adódóan a nemzetközi ajánlások a betegek coronaria státuszának évenkénti ellenőrzést javasolják. A szakmai iránymutatásokban javasolt képalkotó módszer az invazív coronaria angiographia, melynek évenkénti kötelező jellegű ismétlése jelentős megterhelést ró a betegekre. Továbbá az invazív módszer diagnosztikus pontossága a betegség diffúz jellegéből adódóan alacsony.</p>
<p>Fentiek miatt a non-invazív coronaria CT angiographia (CTA) magas negatív prediktív értékének köszönhetően az invazív módszer alternatívája lehet. Ugyanakkor az ezidáig megjelent irodalmi adatok alapján a szívtranszplantált betegek magasabb nyugalmi szívfrekvenciája és az ebből adódó mozgási műtermék limitálhatja a CCTA alkalmazhatóságát, továbbá a diagnosztikus képalkotáshoz szükséges sugárdózis irreális növekedését eredményezheti.</p>
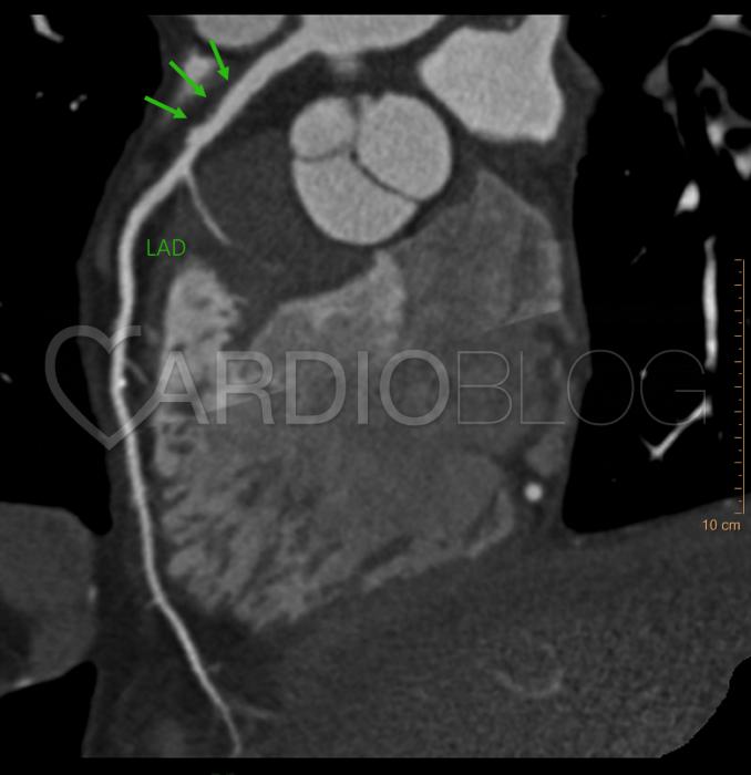
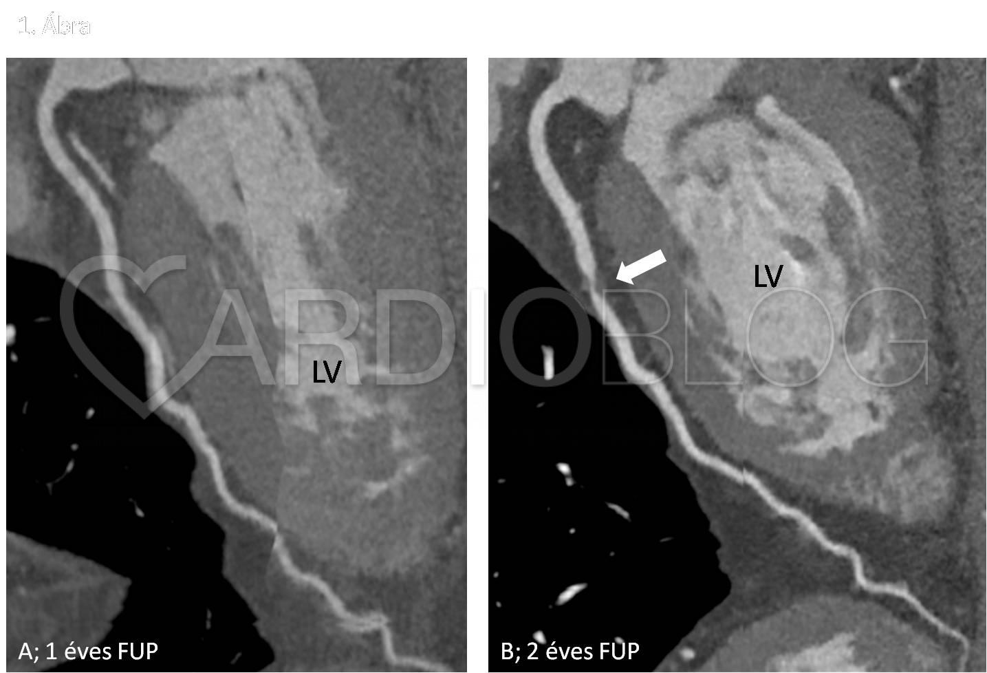
<p style="text-align: center;"><a href="http://www.cardioblog.hu/wp-content/uploads/Transplant1.jpg" target="_blank"><img class="aligncenter size-large wp-image-3210" title="Transplant1" src="http://www.cardioblog.hu/wp-content/uploads/Transplant1-704x479.jpg" alt="" width="700" height="476" /></a>1. Ábra</p>
<h6>Szívtranszplantációt követő kontroll coronaria CTA vizsgálat – LAD-ról készült kanyarodó multiplanáris rekonstrukció.</h6>
<h6>A – 1 éves után követés során stenosistól mentes coronaria rendszer igazolódott<br />
B – 2 éves után követés során a LAD középső szegmentumán súlyos fokú szűkületet okozó coronaria betegség igazolható<br />
(LV – left vetricle, FUP – follow-up)</h6>
<p>A Semmelweis Egyetem Szív- és Érgyógyászati Klinikán 2011 óta elérhető napjaink egyik legmodernebb 256-szeletes CT berendezése, mely segítségével a szívtranszplantáción átesett betegek coronaria státuszának követése non-invazív módon valósulhat meg.</p>
<p>2011. márciusa és 2015. szeptembere között 50 szívtranszplantált beteg estében végeztünk coronaria CTA vizsgálatot az éves kontroll részeként, átlagosan 4.3 évvel a szervátültetést követően. A betegek 22%-a nő, medián életkoruk 57.9 év [IQR: 46.7-59.9]. A vizsgálatok során regisztrált medián szívfrekvencia 74/perc [IQR: 67.8-79.3], míg az effektív sugárdózis 3.7 mSv [IQR 2.4 - 4.3] volt. A képminőség elemezése alapján a vizsgálatok diagnosztikus képminőséggel jellemezhetők, csupán a coronaria szegmentumok 5.8%-a nem értékelhető a tachycardia következtében kialakult mozgási műtermék miatt. Fentiek alapján elmondható, hogy a legmodernebb CT berendezésekben elérhető prospektív EKG-triggerelési protokoll lehetővé teszi a sugárdózis jelentős csökkentését, továbbá a szívtranszplantált betegek magasabb szívfrekvenciája ellenére a CCTA felvételek diagnosztikus értéke – feltehetőleg a reguláris ritmusnak köszönhetően – rendkívül magas. Ezáltal a CCTA megfelelő alternatívája lehet az invazív coronarographiának, nem csupán a vasculopathia diagnózisának felállítása, de a betegség progressziójának megítélése és a bevezetett terápia hatásosságának monitorozása során egyaránt.</p>
<p style="text-align: center;"><a href="http://www.cardioblog.hu/wp-content/uploads/Transplant2.jpg" target="_blank"><img class="aligncenter size-large wp-image-3211" title="Transplant2" src="http://www.cardioblog.hu/wp-content/uploads/Transplant2-704x450.jpg" alt="" width="700" height="447" /></a>2. Ábra</p>
<h6>Szívtranszplantációt követő kontroll CCTA vizsgálat – LAD-ról készült kanyarodó multiplanáris rekonstrukció.</h6>
<h6>A – 1 éves után követés során a LAD proximalis szakaszán minimális fokú coronaria stenosist okozó részben calcificalt lézió igazolódott<br />
B – 2 éves után követés során a LAD proximalis és középső szegmentai érintő diffúz, koncentrikus, mérsékelt fokú szűkületet okozó coronaria betegség azonosítható.<br />
(LV – left vetricle, FUP – follow-up)</h6>
<p>Dr. Bartykowszki Andrea és Dr. Maurovich-Horvat Pál</p>
]]></content:encoded>
			<wfw:commentRss>http://www.cardioblog.hu/sziv-ct/szivtranszplantalt-betegek-coronaria-statuszanak-kovetese-non-invaziv-modon/feed/</wfw:commentRss>
		<slash:comments>0</slash:comments>
		</item>
		<item>
		<title>Prox LAD minimális stenosis&#8230;</title>
		<link>http://www.cardioblog.hu/sziv-ct/prox-lad-minimalis-stenosis/</link>
		<comments>http://www.cardioblog.hu/sziv-ct/prox-lad-minimalis-stenosis/#comments</comments>
		<pubDate>Sun, 06 Dec 2015 19:40:26 +0000</pubDate>
		<dc:creator>Sziv_CT_Major</dc:creator>
				<category><![CDATA[Szív CT]]></category>

		<guid isPermaLink="false">http://www.cardioblog.hu/?p=2991</guid>
		<description><![CDATA[65 éves férfi betegnél 2011-ben klinikánkon coronaria-CT vizsgálatot végeztünk atípusos mellkasi panaszok és pozitív EKG-ergometria miatt. Anamnézisében jelentősebb megbetegedés és a dohányzáson kívül más kardiovaszkuláris rizikófaktor nem szerepel. A 2011-es CT felvételeken a bal elülső leszálló ág (LAD) proximalis szegmentumán &#8230; <a href="http://www.cardioblog.hu/sziv-ct/prox-lad-minimalis-stenosis/">Tovább olvasom <span class="meta-nav">&#8594;</span></a>]]></description>
			<content:encoded><![CDATA[<p>65 éves férfi betegnél 2011-ben klinikánkon coronaria-CT vizsgálatot végeztünk atípusos mellkasi panaszok és pozitív EKG-ergometria miatt. Anamnézisében jelentősebb megbetegedés és a dohányzáson kívül más kardiovaszkuláris rizikófaktor nem szerepel.</p>
<p>A 2011-es CT felvételeken a bal elülső leszálló ág (LAD) proximalis szegmentumán részben kalcifikált, alacsony denzitású plakk ábrázolódott, amely pozitív remodelláció mellett nem okozott lumenszűkületet. A plakk alacsony denzitású komponensekkel is rendelkezett (1. ábra).</p>
<p style="text-align: center;"><a href="http://www.cardioblog.hu/wp-content/uploads/Abra1_2011_LAD-plakk_A.png" target="_blank"><img class="aligncenter size-large wp-image-2992" title="Abra1_2011_LAD plakk_A" src="http://www.cardioblog.hu/wp-content/uploads/Abra1_2011_LAD-plakk_A-678x700.png" alt="" width="678" height="700" /></a></p>
<p style="text-align: center;"><a href="http://www.cardioblog.hu/wp-content/uploads/Abra1_2011_LAD-plakk_B.png" target="_blank"><img class="aligncenter size-large wp-image-2993" title="Abra1_2011_LAD plakk_B" src="http://www.cardioblog.hu/wp-content/uploads/Abra1_2011_LAD-plakk_B-678x700.png" alt="" width="678" height="700" /></a></p>
<p>A bal körbefutó ág (LCx) proximális szakaszán enyhe fokú szűkületet okozó nem kalcifikált plakk, továbbá az ér középső szegmentumán mérsékelt fokú szűkületet okozó részben kalcifikalt plakk ábrázolódott. A jobb koronárián (RCA) érdemi ateroszklerotikus lézió nem igazolódott.</p>
<p>Az összességében enyhe fokú koronaria ateroszklerózisra való tekintettel életmódváltást és szekunder prevenciós kezelést javasoltunk. A beteg ezt követően az ajánlott statin terápiát néhány hét után elhagyta.</p>
<p>2015. januárjában kardiológiai szakrendelést keresett fel 3 hete tartó, egyre erősödő, nyugalomban is fennálló mellkasi fájdalom miatt. Az ott készült EKG felvételen ST eleváció ábrázolódott az elülső mellkasi elvezetésekben (V4-V6). Mentővel szállították intervenciós centrumba, ahol az invazív koronarográfia a LAD proximalis szegmentumán plakkruptúrát igazolt, amely kritikus szűkületet okozott. A további koronária szegmentumokon enyhe fali egyenetlenségeket írtak le. A plakk rupturának megfelelően a LAD proximalis szegmentumába 3&#215;20 mm-es gyógyszerkibocsátó stentet implantáltak. A beteget a beavatkozás után 5 nappal stabil kardiorespiratorikus állapotban, panaszmentesen otthonába bocsájtották.</p>
<p>2015 novemberében ismételt koronaria-CT vizsgálatot végeztünk mellkasi panaszok miatt a stent átjárhatóság megítélése végett. A LAD proximális szegmentumában ábrázolódó stentben instent restenosis kizárható volt (2. Ábra). A koronáriák további szakaszain érdemi plakk progresszió nem ábrázolódott.</p>
<p style="text-align: center;"><a href="http://www.cardioblog.hu/wp-content/uploads/Abra2_2015_LAD-stent.png" target="_blank"><img class="aligncenter size-large wp-image-2994" title="Abra2_2015_LAD stent" src="http://www.cardioblog.hu/wp-content/uploads/Abra2_2015_LAD-stent-704x663.png" alt="" width="700" height="659" /></a></p>
<p style="text-align: center;"><a href="http://www.cardioblog.hu/wp-content/uploads/Abra2_Heart_3D.png" target="_blank"><img class="aligncenter size-large wp-image-2995" title="Abra2_Heart_3D" src="http://www.cardioblog.hu/wp-content/uploads/Abra2_Heart_3D-704x519.png" alt="" width="700" height="516" /></a></p>
<p>A bemutatott eset egy nagy kockázatú, lumenszűkületet nem okozó plakk progresszióját és rupturáját mutatja be, amely illusztrálja a számos nemzetközi vizsgálat által leírt nagy rizikóra utaló plakk jellegzetességek (pozitív remodelláció, alacsony denzitás) erős prognosztikai értékét. A 2011-ben készült CT felvételen ábrázolódott nagy rizikójú plakk miatt statin terápiát javasoltunk, amelyet a beteg elhagyott. At ateroszklerotikus plakk progressziója rupturához és miokardiális infarktushoz vezetett.</p>
<p>Dr. Karády Júlia és Dr. Maurovich-Horvat Pál</p>
]]></content:encoded>
			<wfw:commentRss>http://www.cardioblog.hu/sziv-ct/prox-lad-minimalis-stenosis/feed/</wfw:commentRss>
		<slash:comments>0</slash:comments>
		</item>
		<item>
		<title>Marfan-szindrómás fiatal nőbeteg ritmuszavarokkal Bentall-műtétet követően</title>
		<link>http://www.cardioblog.hu/sziv-ct/marfan-szindromas-fiatal-nobeteg-ritmuszavarokkal-bentall-mutetet-kovetoen/</link>
		<comments>http://www.cardioblog.hu/sziv-ct/marfan-szindromas-fiatal-nobeteg-ritmuszavarokkal-bentall-mutetet-kovetoen/#comments</comments>
		<pubDate>Sun, 22 Mar 2015 08:09:17 +0000</pubDate>
		<dc:creator>Sziv_CT_Major</dc:creator>
				<category><![CDATA[Szív CT]]></category>

		<guid isPermaLink="false">http://www.cardioblog.hu/?p=2654</guid>
		<description><![CDATA[A Marfan-szindróma a kötőszövet autoszomális domináns öröklődésű betegsége. A Marfan-szindrómás esetek döntő többségénél a 15. kromoszómán található fibrillin-1 gén (FBN1) mutációja mutatható ki. A gén terméke a fibrillin 1 fehérje, mely az extracelluláris mátrixban jelenlévő mikrofibrillumok fő alkotóeleme. A mikrofibrillumok &#8230; <a href="http://www.cardioblog.hu/sziv-ct/marfan-szindromas-fiatal-nobeteg-ritmuszavarokkal-bentall-mutetet-kovetoen/">Tovább olvasom <span class="meta-nav">&#8594;</span></a>]]></description>
			<content:encoded><![CDATA[<p>A Marfan-szindróma a kötőszövet autoszomális domináns öröklődésű betegsége. A Marfan-szindrómás esetek döntő többségénél a 15. kromoszómán található fibrillin-1 gén (FBN1) mutációja mutatható ki. A gén terméke a fibrillin 1 fehérje, mely az extracelluláris mátrixban jelenlévő mikrofibrillumok fő alkotóeleme. A mikrofibrillumok fontos szerepet töltenek be az elasztin megfelelő helikális struktúrájának kialakításában. A betegség klinikai manifesztációi  jellegzetesen a vázrendszert érintik, mégis a mortalitás szempontjából a szív és érrendszert  érintő eltérések (aortagyök tágulata, aortabillentyű elégtelensége, mitrális billentyű prolapszusa, inszufficienciája) játszanak meghatározó szerepet. A Marfan-szindrómában szenvedő páciensek hirtelen halálának hátterében leggyakrabban aorta disszekció áll. A Marfan-szindróma klinikai tünetei változó életkorban és súlyossággal jelennek meg. A váz- és kardiovaszkuláris rendszer érintettsége mellett jellegzetes a szemlencse szubluxació (részleges diszlokációja), mivel a lencsefüggesztő rostok alkotásában szintén fontos szerepet tölt be az elasztin. Az utóbbi években a betegség szűrésében, diagnosztikájában és az élethosszig tartó monitorozásában a kardiovaszkuláris képalkotó eljárások (echokardiográfia, szív-CT, szív-MRI) elengedhetetlen eszközökké váltak.</p>
<p>Egy 24 éves Marfan-szindrómás nőbeteg esetét ismertetjük, akinél profilaktikus Bentall-műtét történt nagyfokú aorta aneurizma és III. fokú aortabillentyű elégtelenség miatt. A műtéti beavatkozás lényege, hogy a kitágult aortagyököt egy műérrel helyettesítik, és a proximális szakaszán egy kétlemezes mű-aortabillentyű is behelyezésre kerül. A koszorúerek szájadékát ehhez az úgynevezett „conduit”-hoz varrják hozzá. A betegnél a műtét után 6 héttel terhelésre ventrikuláris tachikardiát észleltünk, majd kamrafibrilláció miatt CPR-t hajtottak végre, továbbá ezt követően ICD beültetés történt. A Bentall-műtét során re-implantált koszorúerek szájadékának megítélése céljából koronária CT vizsgálatra jegyeztük elő (1. kép).</p>
<p style="text-align: center;"><strong><a href="http://www.cardioblog.hu/wp-content/uploads/Marfan1.jpg" target="_blank"><img class="aligncenter size-large wp-image-2655" title="Marfan1" src="http://www.cardioblog.hu/wp-content/uploads/Marfan1-704x442.jpg" alt="" width="700" height="439" /></a></strong></p>
<p><strong><em>1. Kép:</em></strong><em> A Bentall-műtetet követően 6 héttel a koronária CT vizsgálat a koszorúér szájadékokban szűkületet nem igazolt, a felvétel megfelelt a posztoperatív állapotnak, a graft megfelelően helyezkedett el. A sárga nyilak a koszorúereket, míg a zöld nyilak a koszorúerek szájadékait jelölik. </em></p>
<p>A beteget otthonába bocsájtották, majd közel 2 évvel később atípusos mellkasi fájdalom, terhelésre jelentkező vállfájdalom, hányinger és többszöri adekvát ICD sokk miatt kontroll koronária CT angiográfiát végeztünk (2. kép).</p>
<p style="text-align: center;"><strong><a href="http://www.cardioblog.hu/wp-content/uploads/Marfan2.jpg" target="_blank"><img class="aligncenter size-large wp-image-2656" title="Marfan2" src="http://www.cardioblog.hu/wp-content/uploads/Marfan2-704x405.jpg" alt="" width="700" height="402" /></a></strong></p>
<p><strong><em>2. Kép:</em></strong><em> A műérre felvarrt jobb koszorúér és bal főtörzs szájadékában egyaránt súlyos fokú, preokkluzív szűkület ábrázolódott (zöld nyilak). </em></p>
<p><em> </em></p>
<p>Tekintettel a beteg mellkasi panaszaira és az ábrázolódott CT képre, sürgető invazív koronarográfiát végeztünk (1.-2. videó).</p>
<p><iframe frameborder="0" height="315" src="https://www.youtube.com/embed/c0SGjsSzy4g?rel=0" width="420"></iframe></p>
<p><strong><em>1. videó:</em></strong><em> A bal főtörzs szájadék preokkluzív szűkülete ábrázolódik</em></p>
<p><iframe frameborder="0" height="315" src="https://www.youtube.com/embed/po7mzyYrRDU?rel=0" width="420"></iframe></p>
<p><strong><em>2. videó:</em></strong><em> A jobb koronária szájadék preokkluzív szűkülete ábrázolódik</em></p>
<p>A szívkatéteres vizsgálat megerősítette a koronária CT által leírt bal és jobb koszorúerek szájadékainak preokkluzív szűkületét, melyek intervencióját végeztük előtágítás után. A bal főtörzsbe 4,5*16 mm-es gyógyszerkibocsátó stentet (DES), míg a jobb koszorúér szájadékba 4*12 mm-es DES-t implantáltunk (3. video).</p>
<p><iframe frameborder="0" height="315" src="https://www.youtube.com/embed/bdx1Kf7R_QI?rel=0" width="420"></iframe></p>
<p>&nbsp;</p>
<p><strong><em>3. videó:</em></strong><em> PCI után jobb koronária szájadék </em></p>
<p>Fél évvel az intervenciót követően a páciensről kontroll koronária CT-angiográfia készült. A koszorúerek szájadékába implantált stentek megfelelő pozícióban ábrázolódtak, in-stent resztenózis kizárható volt (3-4. kép).</p>
<p style="text-align: center;"><strong><a href="http://www.cardioblog.hu/wp-content/uploads/Marfan3.jpg" target="_blank"><img class="aligncenter size-large wp-image-2657" title="Marfan3" src="http://www.cardioblog.hu/wp-content/uploads/Marfan3-704x450.jpg" alt="" width="700" height="447" /></a></strong></p>
<p><strong><em>3.Kép: </em></strong><em>Az intervenciót követő kontroll koronária CT-angiográfia vizsgálat ép stenteket igazolt mind a jobb koronária szájadékában, mind a bal főtörzsben.</em></p>
<p style="text-align: center;"><strong><a href="http://www.cardioblog.hu/wp-content/uploads/Marfan4.jpg" target="_blank"><img class="aligncenter size-full wp-image-2658" title="Marfan4" src="http://www.cardioblog.hu/wp-content/uploads/Marfan4.jpg" alt="" width="513" height="545" /></a></strong></p>
<p><strong><em>4.Kép:</em></strong><em> 3D rekonstrukció, szájadékokban stentek ábrázolódnak.</em></p>
<p>Fontos megemlíteni, hogy a Bentall-műtétet követően a koszorúereket érintő hasonló jellegű komplikációk elenyészően ritkák, azonban igen magas mortalitással rendelkeznek. A koronária CT-angiográfia vizsgálat nagy pontossággal képes megítélni a re-implantált koszorúér szájadékokat, ezért Bentall-műtétet követően hasznos diagnosztikus eszköz a panaszokkal rendelkező beteg vizsgálatában.</p>
<p>Hörcsik Dorottya, Dr. Szilveszter Bálint, Dr. Benke Kálmán, Dr. Szabolcs Zoltán, Dr. Bartykowszki Andrea, Dr. Szabó György, Dr. Maurovich-Horvat Pál</p>
<p>MTA-SE “Lendület” Kardiovaszkuláris Képalkotó Kutatócsoport, VSZÉK, SE (<a href="http://www.cirg.hu">www.cirg.hu</a>)</p>
]]></content:encoded>
			<wfw:commentRss>http://www.cardioblog.hu/sziv-ct/marfan-szindromas-fiatal-nobeteg-ritmuszavarokkal-bentall-mutetet-kovetoen/feed/</wfw:commentRss>
		<slash:comments>0</slash:comments>
		</item>
		<item>
		<title>NSTEMI coronaria-CT képe</title>
		<link>http://www.cardioblog.hu/sziv-ct/nstemi-coronaria-ct-kepe/</link>
		<comments>http://www.cardioblog.hu/sziv-ct/nstemi-coronaria-ct-kepe/#comments</comments>
		<pubDate>Sat, 13 Dec 2014 16:53:40 +0000</pubDate>
		<dc:creator>Sziv_CT_Major</dc:creator>
				<category><![CDATA[Szív CT]]></category>

		<guid isPermaLink="false">http://www.cardioblog.hu/?p=2481</guid>
		<description><![CDATA[72 éves férfibeteg feleségével érkezik klinikánkra elektív koronária CT vizsgálatra két hónapja fennálló anginás panaszok miatt. Délelőtt otthonában fűnyírás közben korábban nem tapasztalt erősségű mellkasi panaszai jelentkeztek, amelyek egy órán át tartottak. Klinikánkra késő délutáni órákban érkezett, azonban az ide &#8230; <a href="http://www.cardioblog.hu/sziv-ct/nstemi-coronaria-ct-kepe/">Tovább olvasom <span class="meta-nav">&#8594;</span></a>]]></description>
			<content:encoded><![CDATA[<p style="text-align: left;">72 éves férfibeteg feleségével érkezik klinikánkra elektív koronária CT vizsgálatra két hónapja fennálló anginás panaszok miatt. Délelőtt otthonában fűnyírás közben korábban nem tapasztalt erősségű mellkasi panaszai jelentkeztek, amelyek egy órán át tartottak. Klinikánkra késő délutáni órákban érkezett, azonban az ide vezető autóút során mellkasi panaszai kiújultak, a visszafordulást is fontolgatták feleségével.<br />
Érkezésekor erős mellkasi panaszt jelzett. 12 elvezetéses EKG-t készítettünk, melyen sinus ritmus mellett akut ischaemiás eltérés nem igazolódott, vérnyomása 160/95 volt. Panasza 2 puff nitromint spray hatására oldódott.</p>
<p>Anamnézisében kezelt hypertonia mellett érdemi megbetegedés nem szerepelt.</p>
<p><em>Kép1(2szív): </em>A koronária CT vizsgálatot elvégeztük, amely jobb domináns, szabályos eredésű és lefutású koszorúér-rendszert ábrázolt.</p>
<p style="text-align: left;"><a href="http://www.cardioblog.hu/wp-content/uploads/NSTEMI_CT1.jpg" target="_blank"><img class="aligncenter size-large wp-image-2482" title="NSTEMI_CT1" src="http://www.cardioblog.hu/wp-content/uploads/NSTEMI_CT1-704x381.jpg" alt="" width="700" height="378" /></a><br />
<em>Kép2: </em>A bal főtörzs érdemi eltérést nem mutatott. Az elülső leszálló ág (LAD) eredésében azonban szegmentális elzáródás ábrázolódott (zöld nyíl). A LAD további szakaszain gyenge kontraszttelődés volt látható. A LAD középső szegmentumán komplett izomhíd (myocardialis bridge) ábrázolódott.</p>
<p style="text-align: center;"><a href="http://www.cardioblog.hu/wp-content/uploads/NSTEMI_CT2.jpg" target="_blank"><img class="aligncenter size-large wp-image-2483" title="NSTEMI_CT2" src="http://www.cardioblog.hu/wp-content/uploads/NSTEMI_CT2-688x700.jpg" alt="" width="688" height="700" /></a></p>
<p><em>Kép3: </em>A körbefutó ág (CX) kiáramlását adó magasan eredő OM ág proximalis részén egy részben kalcifikált szerkezetű, pozitívan remodellált, közepes fokú lumenszűkületet okozó plakk ábrázolódott (zöld nyíl).</p>
<p style="text-align: left;"><a href="http://www.cardioblog.hu/wp-content/uploads/NSTEMI_CT3.jpg" target="_blank"><img class="aligncenter size-large wp-image-2484" title="NSTEMI_CT3" src="http://www.cardioblog.hu/wp-content/uploads/NSTEMI_CT3-692x700.jpg" alt="" width="692" height="700" /></a><br />
<em>Kép4: </em>A domináns jobb koronária minimális ateroszklerotikus eltérést mutatott.</p>
<p style="text-align: left;"><a href="http://www.cardioblog.hu/wp-content/uploads/NSTEMI_CT4.jpg" target="_blank"><img class="aligncenter size-large wp-image-2485" title="NSTEMI_CT4" src="http://www.cardioblog.hu/wp-content/uploads/NSTEMI_CT4-675x700.jpg" alt="" width="675" height="700" /></a><br />
A LAD okklúziót okozó plakk-tömeg alacsony denzitása és az ér középső és disztalis szakaszainak gyengébb kontraszttelődése akut trombotikus elzáródásra utal. A beteg vizsgálat alatt mindvégig stabil kardiorespiratorikus állapotban volt. A CT vizsgálatot követően ismét kiújuló mellkasi panaszaira és az ábrázolódott képre való tekintettel sürgősséggel intenzív kardiológiai osztályunkra vettük fel. Mellkasi panaszai progrediáltak, majd az ismételten készített EKG vizsgálaton negatív T hullámok jelentek meg az anterior elvezetésekben. Invazív koronarográfia vizsgálatot végeztünk.</p>
<p style="text-align: center;"><a href="http://www.cardioblog.hu/wp-content/uploads/NSTEMI_CT5.jpg" target="_blank"><img class="aligncenter size-large wp-image-2486" title="NSTEMI_CT5" src="http://www.cardioblog.hu/wp-content/uploads/NSTEMI_CT5-704x316.jpg" alt="" width="700" height="314" /></a></p>
<p><iframe frameborder="0" height="315" src="//www.youtube.com/embed/11q2XL-Nuio?rel=0" width="420"></iframe><br />
<iframe frameborder="0" height="315" src="//www.youtube.com/embed/7SbILxB6mcE?rel=0" width="420"></iframe><br />
A szívkatéterezés vizsgálat a LAD ág proximális elzáródását megerősítette (1. video), melynek intervencióját végeztük egy 3.0× 23 mm-es gyógyszerkibocsátó (DES) stent deponálásával (2. video). További intervenciót igénylő koronária lumenszűkület nem ábrázolódott. Az intervenciót követően a beteg mellkasi panaszai megszűntek. Labor vizsgálat emelkedett troponin értéket mutatott (TnT 3,32 ng/L), megerősítve a myokardiális infarctus diagnózisát.</p>
<p>Drobni Zsófia, Dr. Károlyi Mihály, Dr. Maurovich-Horvat Pál</p>
<p>MTA-SE “Lendület” Kardiovaszkuláris Képalkotó Kutatócsoport, VSZÉK, SE (www.cirg.hu)</p>
<p>&nbsp;</p>
]]></content:encoded>
			<wfw:commentRss>http://www.cardioblog.hu/sziv-ct/nstemi-coronaria-ct-kepe/feed/</wfw:commentRss>
		<slash:comments>0</slash:comments>
		</item>
		<item>
		<title>Három legyet…</title>
		<link>http://www.cardioblog.hu/sziv-ct/harom-legyet%e2%80%a6/</link>
		<comments>http://www.cardioblog.hu/sziv-ct/harom-legyet%e2%80%a6/#comments</comments>
		<pubDate>Wed, 22 Oct 2014 14:25:52 +0000</pubDate>
		<dc:creator>Sziv_CT_Major</dc:creator>
				<category><![CDATA[Szív CT]]></category>

		<guid isPermaLink="false">http://www.cardioblog.hu/?p=2361</guid>
		<description><![CDATA[Klinikánkon rendszeresen végzünk bal pitvari CT angiográfiás vizsgálatot pitvarfibrilláló betegeknél pulmonális véna izoláció (katéteres abláció) előtt.  A CT képalkotással készített háromdimenziós térkép a katéteres abláció során felvételezett elektroanatómiai térképpel egyesíthető (ún. CARTO rendszerben). Ez a fuzionált felvétel az abláció precíz &#8230; <a href="http://www.cardioblog.hu/sziv-ct/harom-legyet%e2%80%a6/">Tovább olvasom <span class="meta-nav">&#8594;</span></a>]]></description>
			<content:encoded><![CDATA[<p>Klinikánkon rendszeresen végzünk bal pitvari CT angiográfiás vizsgálatot pitvarfibrilláló betegeknél pulmonális véna izoláció (katéteres abláció) előtt.  A CT képalkotással készített háromdimenziós térkép a katéteres abláció során felvételezett elektroanatómiai térképpel egyesíthető (ún. CARTO rendszerben). Ez a fuzionált felvétel az abláció precíz megtervezését, illetve a beteg, valamint az orvosi személyzet sugárterhelésének csökkentését teszi lehetővé.</p>
<p>A közelmúltban egy 69 éves, három éve permanensen pitvarfibrilláló hölgybetegnél készítettünk bal pitvari CT térképet CARTO abláció előtt. A betegnek mellkasi panasza sohasem volt, azonban anamnézisében számos kardiovaszkuláris rizikófaktor szerepelt. Nem megfelelően kezelt hipertóniája (érkezéskor RR 170/90 Hgmm), hiperlipidémiája, 20 éve kezelt 2-es típusú diabétesze, illetve obezitása (BMI 31,8 kg/m<sup>2</sup>) alapján magas kardiovaszkuláris kockázattal bírt. A Framingham rizikó kalkulátor szerint 48% esélye volt rá, hogy az elkövetkező 10 évben kardiovaszkuláris megbetegedése alakuljon ki. Tekintettel a beteg rizikófaktoraira, a CT-vizsgálat során a bal pitvari anatómia leképezésén túl törekedtünk a koszorúerek állapotának megítélésére is. A CT- vizsgálat előtt egy órával előkészítésként 50 mg per os, majd közvetlenül a vizsgálatot megelőzően ismételt 10 mg iv. metoprololt adtunk a betegnek a szívfrekvencia csökkentése, valamint 0,8 mg po. nitroglicerint a koronáriák tágítása céljából. A kardiális CT vizsgálatot standard csőáram és csőfeszültség beállítások (120 kV, 300 mAs) mellett prospektív EKG-triggereléssel végeztük el. A klinikánkon használt 256-szeletes CT készülék szofisztikált aritmia detekciós algoritmusának köszönhetően irreguláris szívritmus esetén is nagy eséllyel mozgási műtermékektől mentes felvételt tudunk készíteni. A vizsgálat során a bal pitvar kiváló képminőségű leképezése mellett a bal elülső leszálló koszorúér (LAD) középső szegmentumának szignifikáns szűkülete ábrázolódott. Mindemellett a bal pitvari fülcsében detektált kontraszttelődési hiány felvetette fülcsethrombus lehetőségét. Ezért az artériás fázisú kontrasztos felvétel után közvetlenül egy késői, a fülcsére célzott vénás fázisú felvételt készítettünk, ahol kontrasztkiesés a fülcsében nem ábrázolódott, ezért thrombus lehetőségét biztonsággal kizárhattuk.</p>
<p>Tekintettel a CT-vizsgálaton talált koszorúérszűkületre, a beteget első lépésben invazív koronarográfiára jegyeztük elő. A szívkatéteres vizsgálat megerősítette a LAD szignifikáns lézióját, ezért perkután koronária intervenciót végeztünk. A CT-vizsgálat alapján mért 15 mm-es plakkhossznak, valamint 3 mm-es proximalis és distalis referencia diamétereknek megfelelően egy 3&#215;18 mm-es gyógyszerkibocsátó stent került deponálásra.  A PCI-t követően a betegnél elektív időpontban megtörtént a pulmonális véna izoláció, az azóta eltelt közel három hónapban sinus ritmusát tartotta, panaszmentes.</p>
<p>Esetünk a szív CT angiográfiás vizsgálatának előnyösségét kívánja hangsúlyozni pitvarfibrilláció abláció előtt, mely vizsgálattal egyszerre akár “három legyet is lecsaphatunk”.  Így pontos anatómia térképet készíthetünk a bal pitvarról, megítélhetjük a koszorúerek állapotát és kizárhatjuk bal pitvari fülcsethrombus lehetőségét. Midemellett a CT angiográfia az esetleges perkután koronária intervenció megtervezését is segíti a megfelelő stent méretének kiválasztásával.</p>
<p><a href="http://www.cardioblog.hu/wp-content/uploads/Haromlegyet1A.jpg" target="_blank"><img class="aligncenter size-large wp-image-2364" title="Haromlegyet1A" src="http://www.cardioblog.hu/wp-content/uploads/Haromlegyet1A-655x700.jpg" alt="" width="655" height="700" /></a></p>
<p style="text-align: center;"><a href="http://www.cardioblog.hu/wp-content/uploads/Haromlegyet1A.jpg" target="_blank"></a><a href="http://www.cardioblog.hu/wp-content/uploads/Haromlegyet1B.jpg" target="_blank"><img class="aligncenter size-large wp-image-2365" title="Haromlegyet1B" src="http://www.cardioblog.hu/wp-content/uploads/Haromlegyet1B-700x700.jpg" alt="" width="700" height="700" /></a></p>
<p>A koszorúérrendszert ábrázoló háromdimenziós CT felvétel /A/ valamint az elülső leszálló koszorúérről (LAD) készített kanyarodó multiplanáris rekonstrukció /B/. A LAD proximális szegmentumában egy pozitívan remodellált, részben kalcifikált szerkezetű, ateroszklerotikus plakk került leképezésre (zöld nyíl), mely azonban a lument legfeljebb 50%-ban szűkíti. Ettől distalisan egy apró kalcifikált plakk látható, majd az első diagonális ág leadása után egy részben kalcifikált szerkezetű plakk okozta szignifikáns lumenszűkület látható (piros nyíl).</p>
<p style="text-align: center;"><a href="http://www.cardioblog.hu/wp-content/uploads/Haromlegyet2A.jpg" target="_blank"><img class="aligncenter size-large wp-image-2366" title="Haromlegyet2A" src="http://www.cardioblog.hu/wp-content/uploads/Haromlegyet2A-670x700.jpg" alt="" width="670" height="700" /></a></p>
<p style="text-align: center;"><a href="http://www.cardioblog.hu/wp-content/uploads/Haromlegyet2B.jpg" target="_blank"><img class="aligncenter size-large wp-image-2367" title="Haromlegyet2B" src="http://www.cardioblog.hu/wp-content/uploads/Haromlegyet2B-670x700.jpg" alt="" width="670" height="700" /></a></p>
<p>A bal pitvarról készült artériás /A/ és vénás /B/ fázisú felvétel. Az artériás fázisban a bal pitvari fülcsének megfelelően kontraszttelődési hiány ábrázolódik, mely felveti fülcsethrombus lehetőségét. A vénás fázisú felvételen azonban kontrasztkiesés nem ábrázolódik, ezáltal fülcsethrombus kizárható, a konrasztkiesést az artériás fázisú felvételen a kontrasztanyag keveredése okozta.</p>
<p style="text-align: center;"><a href="http://www.cardioblog.hu/wp-content/uploads/Haromlegyet3.jpg" target="_blank"><img class="aligncenter size-large wp-image-2368" title="Haromlegyet3" src="http://www.cardioblog.hu/wp-content/uploads/Haromlegyet3-700x700.jpg" alt="" width="700" height="700" /></a></p>
<p>Invazív koronarográfia során készült szelektív bal ágfestésen látható a LAD súlyos fokú szűkülete (fehér nyíl).</p>
<p>Dr. Károlyi Mihály, Dr. Jermendy Ádám, Dr. Maurovich-Horvat Pál</p>
]]></content:encoded>
			<wfw:commentRss>http://www.cardioblog.hu/sziv-ct/harom-legyet%e2%80%a6/feed/</wfw:commentRss>
		<slash:comments>0</slash:comments>
		</item>
		<item>
		<title>A strandröplabda veszélyei</title>
		<link>http://www.cardioblog.hu/sziv-ct/a-strandroplabda-veszelyei/</link>
		<comments>http://www.cardioblog.hu/sziv-ct/a-strandroplabda-veszelyei/#comments</comments>
		<pubDate>Mon, 05 May 2014 13:31:25 +0000</pubDate>
		<dc:creator>Sziv_CT_Major</dc:creator>
				<category><![CDATA[Szív CT]]></category>

		<guid isPermaLink="false">http://www.cardioblog.hu/?p=2204</guid>
		<description><![CDATA[52 éves férfibetegünk 2012-ben minden előjel és ismert rizikófaktor nélkül hirtelen szívhalált halt strandröplabdázás közben Horvátországban, egy kis szigeten. A megfelelő orvosi ellátás hiánya miatt életét a jelenlévő strandolók lélekjelenlétének köszönheti, akik a szakszerű segítség kiérkezéséig hosszasan (30 percen át) &#8230; <a href="http://www.cardioblog.hu/sziv-ct/a-strandroplabda-veszelyei/">Tovább olvasom <span class="meta-nav">&#8594;</span></a>]]></description>
			<content:encoded><![CDATA[<p>52 éves férfibetegünk 2012-ben minden előjel és ismert rizikófaktor nélkül hirtelen szívhalált halt strandröplabdázás közben Horvátországban, egy kis szigeten. A megfelelő orvosi ellátás hiánya miatt életét a jelenlévő strandolók lélekjelenlétének köszönheti, akik a szakszerű segítség kiérkezéséig hosszasan (30 percen át) részesítették laikus reanimatioban. A mentőegység sikeres ALS-t (advanced life support) követően anterior ST-elevatiot észlelt, mely miatt a beteget primer PCI céljából az ügyeletes fiumei katéteres laborba szállította. A coronarographia során a LAD recanalisált occlusioját észlelték és LAD PCI-t végeztek.</p>
<p>A beteg felépülése zavartalanul telt, hamar extubálhatóvá vált, majd neurológiai maradványtünet nélkül egy hét után otthonába távozhatott.</p>
<p>2014 februárjában panaszmentesen, negatív ergometriás vizsgálatot követően csupán atípusos mellkasi panaszok miatt vett részt klinikánkon egy coronaria CT angiographias vizsgálaton. (Emlékezzünk, betegünk a hirtelen szívhalál elszenvedése előtt sem tapasztalt semmilyen típusos bevezető tünetet!)</p>
<p>A CT vizsgálat meglepő eredménnyel szolgált:</p>
<p>A kanyarodó multiplanáris rekonstrukciók alapján a jobb coronaria (RCA) és körbefutó ág (CX) lefutása mentén érdemi atherosclerotikus folyamat, lumenszűkület nem igazolódott, azonban az elülső leszálló ágba (LAD) implantált stent lumenében határérték szűkületet okozó in-stent restenosis ábrázolódott, míg a stenttől proximalisan jelentős fokú peri-stent restenosis került leírásra.  (1. ábra)</p>
<div id="attachment_2205" class="wp-caption aligncenter" style="width: 710px"><a href="http://www.cardioblog.hu/wp-content/uploads/Strandroplabda_abra1.jpg" target="_blank"><img class="size-large wp-image-2205" title="Strandroplabda_abra1" src="http://www.cardioblog.hu/wp-content/uploads/Strandroplabda_abra1-704x474.jpg" alt="" width="700" height="471" /></a><p class="wp-caption-text">1. ábra: A coronariakról készül kanyarodó multiplanáris rekonstrukció.  Az RCA (A) és a CX (B) lefutása mentén atherosclerotikus folyamat nem igazolható. A LAD (C) proximalis szakaszára implantált stentben határérték in-stent restenosis, valamint súlyos fokú peri-stent restenosis ábrázolódik. A fehér nyilak az in-stent restenosist, a nyílhegy a stent proximalis végénél azonosítható peri-stent restenosis jelöli. (RCA – jobb coronaria, CX – bal körbefutó ág, LAD – bal elülső leszálló ág, LV – bal kamra, Ao – aorta)</p></div>
<p>Érdekesség továbbá, hogy a bal kamráról készült rövidtengelyű felvételeken az anterior infarctusra jellemző strukturális myocardium károsodás, a myocardium elvékonyodása, valamint hipodenzitása nem ábrázolódott. Ezzel az eredménnyel egybehangzóan az echocardiographias vizsgálat is megtartott bal kamra funkciót igazolt, regionális falmozgás zavar nélkül. A bal kamra teljes regenerálódása, valamint a beteg neurológiai maradványtünet nélküli felépülése feltehetően a kitartó, és megfelelő hatékonysággal végzett laikus reanimationak, valamint a rövid időn belül spontán recanalisálódott coronarianak köszönhető. (2. ábra)</p>
<div id="attachment_2206" class="wp-caption aligncenter" style="width: 710px"><a href="http://www.cardioblog.hu/wp-content/uploads/Strandroplabda_abra2.jpg" target="_blank"><img class="size-large wp-image-2206 " title="Strandroplabda_abra2" src="http://www.cardioblog.hu/wp-content/uploads/Strandroplabda_abra2-704x487.jpg" alt="" width="700" height="484" /></a><p class="wp-caption-text">2. ábra: Négyüregű hossztengelyi nézet a szívről (A). Kétüregű, rövid tengelyi metszetek különböző magasságokban: basalis (B), mid (C) és apicalis (D) szegmentum. (LV – bal kamra, RV – jobb kamra, LA – bal pitvar, RA – jobb pitvar)</p></div>
<p>Tekintettel a súlyos fokú in-stent restenosisra a beteget invazív katéteres vizsgálatra jegyeztük elő, mely során a CT által leírt eltérés igazolódott. Ennek megfelelően a korábban implantált stentbe egy újabb, gyógyszerkibocsájtó stent deponálása történt.</p>
<p>Dr. Bartykowszki Andrea, Dr. Jermendy Ádám</p>
<p>&nbsp;</p>
]]></content:encoded>
			<wfw:commentRss>http://www.cardioblog.hu/sziv-ct/a-strandroplabda-veszelyei/feed/</wfw:commentRss>
		<slash:comments>0</slash:comments>
		</item>
		<item>
		<title>Hasonló, de annyira mégsem</title>
		<link>http://www.cardioblog.hu/sziv-ct/hasonlo-de-annyira-megsem/</link>
		<comments>http://www.cardioblog.hu/sziv-ct/hasonlo-de-annyira-megsem/#comments</comments>
		<pubDate>Sat, 08 Feb 2014 19:26:52 +0000</pubDate>
		<dc:creator>Sziv_CT_Major</dc:creator>
				<category><![CDATA[Szív CT]]></category>

		<guid isPermaLink="false">http://www.cardioblog.hu/?p=2099</guid>
		<description><![CDATA[A klinikánkon zajló ikerkutatás keretei között egy 74 éves, egypetéjű férfi ikerpár tagjainál coronaria CT angiographias (CCTA) vizsgálatot végeztünk. Az A-iker anamnézisében hypertonia, dyslipidaemia, valamint supraventricularis tachycardia szerepelt. A B-iker kórtörténetében szintén hypertonia, dyslipidaemia szerepelt, ezen kívül pitvarfibrillatio kapcsán ablatiot &#8230; <a href="http://www.cardioblog.hu/sziv-ct/hasonlo-de-annyira-megsem/">Tovább olvasom <span class="meta-nav">&#8594;</span></a>]]></description>
			<content:encoded><![CDATA[<p>A klinikánkon zajló ikerkutatás keretei között egy 74 éves, egypetéjű férfi ikerpár tagjainál coronaria CT angiographias (CCTA) vizsgálatot végeztünk. Az A-iker anamnézisében hypertonia, dyslipidaemia, valamint supraventricularis tachycardia szerepelt. A B-iker kórtörténetében szintén hypertonia, dyslipidaemia szerepelt, ezen kívül pitvarfibrillatio kapcsán ablatiot végeztek nála korábban. Ismert koszorúérbetegségük nem volt. Enyhe, atípusos mellkasi panaszokról mindkét testvér beszámolt.</p>
<p>Az elvégzett CCTA minkettejüknél mérsékelt fokú coronaria atherosclerosist igazolt, érdekesség, hogy mindkét esetben a LAD volt a leginkább érintett ér.</p>
<p>Az A-iker proximalis LAD-szegmentumán határérték lumenszűkület ábrázolódott, a D1 ágon pedig súlyos fokú szűkületet igazolt a CT. A többi coronaria fali egyenetlen volt jelentős szűkülettől mentesen.</p>
<div id="attachment_2101" class="wp-caption aligncenter" style="width: 565px"><a href="http://www.cardioblog.hu/wp-content/uploads/Iker1.jpg" target="_blank"><img class="size-full wp-image-2101 " title="Iker1" src="http://www.cardioblog.hu/wp-content/uploads/Iker1.jpg" alt="" width="555" height="555" /></a><p class="wp-caption-text">A-iker, LAD: részben calcificalt plakk okoz határérték stenosist a proximalis szegmentumon</p></div>
<p style="text-align: center;">&nbsp;</p>
<div id="attachment_2102" class="wp-caption aligncenter" style="width: 567px"><a href="http://www.cardioblog.hu/wp-content/uploads/Iker2.jpg" target="_blank"><img class="size-full wp-image-2102 " title="Iker2" src="http://www.cardioblog.hu/wp-content/uploads/Iker2.jpg" alt="" width="557" height="557" /></a><p class="wp-caption-text">A-iker, D1: részben calcificalt plakkrendszer okoz proximalisan súlyos fokú stenosist</p></div>
<p>A B-iker középső LAD-szegmentumán ábrázolódott határérték fokú szűkület, a többi ágon kontúregyenetlenségeket lehetett látni.</p>
<p style="text-align: center;">&nbsp;</p>
<div id="attachment_2103" class="wp-caption aligncenter" style="width: 567px"><a href="http://www.cardioblog.hu/wp-content/uploads/Iker3.jpg" target="_blank"><img class="size-full wp-image-2103 " title="Iker3" src="http://www.cardioblog.hu/wp-content/uploads/Iker3.jpg" alt="" width="557" height="557" /></a><p class="wp-caption-text">B-iker, LAD: részben calcificalt plakk okoz súlyos fokú stenosist a középső szegmentumon</p></div>
<p>Tekintettel az ábrázolódott atheroscleroticus elváltozásokra a pár mindkét tagjánál invazív kardiológiai konzíliumot javasoltunk, amelybe készséggel beleegyeztek.</p>
<p>Nézzük hát a felvételeket a haemodinamikai laborból:</p>
<p>Az A-iker esetében a koszorúérfestés lényegében alátámasztotta a CT-n látottakat, a LAD-on és a D1-en határérték stenosis igazolódott, amelyek pontosabb megítélése érdekében FFR-vizsgálatot végeztünk.</p>
<div id="attachment_2104" class="wp-caption aligncenter" style="width: 567px"><a href="http://www.cardioblog.hu/wp-content/uploads/Iker4.jpg" target="_blank"><img class="size-full wp-image-2104" title="Iker4" src="http://www.cardioblog.hu/wp-content/uploads/Iker4.jpg" alt="A-iker: LAD és D1 határérték stenosis" width="557" height="557" /></a><p class="wp-caption-text">A-iker: LAD és D1 határérték stenosis</p></div>
<p style="text-align: center;">&nbsp;</p>
<p>Az FFR-mérés mind a LAD, mind a D1 esetében 0,81-es értéket eredményezett, amely alapján a szűkületek nem bizonyultak szignifikánsnak, így érdemi teendő nem volt. A beteget rövid obszerváció után otthonába bocsájtottuk, a továbbiakban konzervatív kezelést alkalmazva nála.</p>
<p>Ezek után a testvére is coronarographiara került, akinél a látott kép szintén megegyezett a CT eredményével, a LAD-on határérték szűkület igazolódott. A szűkület mértékének pontosabb megítélése céljából nála is FFR-mérést végeztünk. A két ikertestvér ezidáig szinte azonos szálon futó története itt vált két külön útra, ugyanis a B-iker esetében a LAD-on mért FFR-érték 0,79 volt, azaz szignifikánsnak bizonyult. Ennek ismeretében a léziót ballonos előtágítást követően egy felszívódó stenttel fedtük le, a beavatkozás szövődménymentesen zajlott. Rövid kórházi tartózkodás után panaszmentesen engedtük otthonába a beteget.</p>
<p style="text-align: center;">&nbsp;</p>
<div id="attachment_2105" class="wp-caption aligncenter" style="width: 567px"><a href="http://www.cardioblog.hu/wp-content/uploads/Iker5.jpg" target="_blank"><img class="size-full wp-image-2105 " title="Iker5" src="http://www.cardioblog.hu/wp-content/uploads/Iker5.jpg" alt="" width="557" height="557" /></a><p class="wp-caption-text">B-iker: Mid-LAD határérték szűkülete</p></div>
<div id="attachment_2106" class="wp-caption aligncenter" style="width: 567px"><a href="http://www.cardioblog.hu/wp-content/uploads/Iker6.jpg" target="_blank"><img class="size-full wp-image-2106" title="Iker6" src="http://www.cardioblog.hu/wp-content/uploads/Iker6.jpg" alt="B-iker: LAD stent helyzete" width="557" height="557" /></a><p class="wp-caption-text">B-iker: LAD stent helyzete</p></div>
<p style="text-align: center;">&nbsp;</p>
<div id="attachment_2107" class="wp-caption aligncenter" style="width: 567px"><a href="http://www.cardioblog.hu/wp-content/uploads/Iker7.jpg" target="_blank"><img class="size-full wp-image-2107 " title="Iker7" src="http://www.cardioblog.hu/wp-content/uploads/Iker7.jpg" alt="" width="557" height="557" /></a><p class="wp-caption-text">B-iker: LAD stent implantatio utáni állapot</p></div>
<p>Dr. Jermendy Ádám és Dr. Maurovich-Horvat Pál</p>
]]></content:encoded>
			<wfw:commentRss>http://www.cardioblog.hu/sziv-ct/hasonlo-de-annyira-megsem/feed/</wfw:commentRss>
		<slash:comments>0</slash:comments>
		</item>
		<item>
		<title>Triple rule out – hármat egy csapásra</title>
		<link>http://www.cardioblog.hu/sziv-ct/triple-rule-out-%e2%80%93-harmat-egy-csapasra/</link>
		<comments>http://www.cardioblog.hu/sziv-ct/triple-rule-out-%e2%80%93-harmat-egy-csapasra/#comments</comments>
		<pubDate>Mon, 18 Nov 2013 15:18:27 +0000</pubDate>
		<dc:creator>Sziv_CT_Major</dc:creator>
				<category><![CDATA[Szív CT]]></category>

		<guid isPermaLink="false">http://www.cardioblog.hu/?p=1978</guid>
		<description><![CDATA[Az 56 éves, erős dohányos férfibeteg fél órája fennálló erős mellkasi fájdalom, és azt kísérő fulladás miatt érkezett intézetünk sürgősségi osztályára. Az EKG-n jobb Tawara-szár blokk mellett nem specifikus ST-eltérések látszódtak. A sürgős laborvizsgálat emelkedett D-dimer értéket mutatott, míg a &#8230; <a href="http://www.cardioblog.hu/sziv-ct/triple-rule-out-%e2%80%93-harmat-egy-csapasra/">Tovább olvasom <span class="meta-nav">&#8594;</span></a>]]></description>
			<content:encoded><![CDATA[<p>Az 56 éves, erős dohányos férfibeteg fél órája fennálló erős mellkasi fájdalom, és azt kísérő fulladás miatt érkezett intézetünk sürgősségi osztályára. Az EKG-n jobb Tawara-szár blokk mellett nem specifikus ST-eltérések látszódtak. A sürgős laborvizsgálat emelkedett D-dimer értéket mutatott, míg a hsTroponin-T nem volt kóros tartományban. Az azonnali coronarographiat a beteg elutasította.</p>
<p>A szívultrahang vizsgálat eredményeiből a következők emelhetőek ki: dilatált, hipokinetikus jobb kamra, megtartott bal kamra funkció, I. fokú mitralis insufficientia, I-II. fokú tricuspidalis insufficientia. A látott klinikai kép és az emelkedett D-dimer felvetette pulmonaris embólia gyanúját is, így a diagnosztikus algoritmus következő lépése a mellkasi CT angiographia volt. Miután több kórkép is felmerült a beteg panaszainak hátterében, így a standard pulmonaris embolia CT-protokoll helyett a triple rule out protokollt használtuk, amelynek segítségével egyidejűleg megítélhetők koszorúerek, a pulmonaris erek, valamint a thoracalis aorta.</p>
<p style="text-align: center;"><a href="http://www.cardioblog.hu/wp-content/uploads/TROPulmonaris-arteria1.jpg" target="_blank"><img class="aligncenter size-large wp-image-1988" title="TROPulmonaris arteria" src="http://www.cardioblog.hu/wp-content/uploads/TROPulmonaris-arteria1-704x625.jpg" alt="" width="700" height="621" /></a></p>
<p style="text-align: center;"><a href="http://www.cardioblog.hu/wp-content/uploads/TROAortaiv1.jpg" target="_blank"><img class="aligncenter size-large wp-image-1989" title="TROAortaiv" src="http://www.cardioblog.hu/wp-content/uploads/TROAortaiv1-704x625.jpg" alt="" width="700" height="621" /></a></p>
<p>Döntésünk helyesnek bizonyult, ugyanis embóliát, valamint aortadissectiot egyértelműen ki lehetett zárni. Nézzük hát a coronariákat! A bal főtörzsben, valamint a LAD lefutása mentén egy-egy apró plakk ábrázolódott, amelyek a lument érdemben nem befolyásolták.</p>
<p style="text-align: center;"><a href="http://www.cardioblog.hu/wp-content/uploads/TRO2D1.jpg" target="_blank"><img class="aligncenter size-large wp-image-1990" title="TRO2D" src="http://www.cardioblog.hu/wp-content/uploads/TRO2D1-704x625.jpg" alt="" width="700" height="621" /></a><a href="http://www.cardioblog.hu/wp-content/uploads/TROLAD1.jpg" target="_blank"><img class="aligncenter size-large wp-image-1991" title="TROLAD" src="http://www.cardioblog.hu/wp-content/uploads/TROLAD1-704x625.jpg" alt="" width="700" height="621" /></a></p>
<p>A CX ágrendszere ép volt.</p>
<p style="text-align: center;"><a href="http://www.cardioblog.hu/wp-content/uploads/TROLCX1.jpg" target="_blank"><img class="aligncenter size-large wp-image-1992" title="TROLCX" src="http://www.cardioblog.hu/wp-content/uploads/TROLCX1-704x625.jpg" alt="" width="700" height="621" /></a></p>
<p>A domináns jobb coronaria azonban a proximalis szakaszán segmentalisan occludaltnak bizonyult, a distalis érszakasz kontraszttal csak igen halványan telődött.</p>
<p style="text-align: center;"><a href="http://www.cardioblog.hu/wp-content/uploads/TRORCA1.jpg" target="_blank"><img class="aligncenter size-large wp-image-1994" title="TRORCA" src="http://www.cardioblog.hu/wp-content/uploads/TRORCA1-704x625.jpg" alt="" width="700" height="621" /></a></p>
<p>A panaszok hátterében tehát egy akutan zajló coronaria syndroma állt, a coronarographia elvégzése így már nem lehetett kérdéses. A beteg EKG-ján a CT vizsgálat után többszöri nsVT (nem tartós kamrai tachycardia) volt látható, amelyet rövid keringésmegingás kísért, ezért a katéteres laborba már szedálva, intubálva érkezett.</p>
<p>A sürgős coronarographia közben az EKG-n már egyértelműen inferior STEMI képe rajzolódott ki. A koszorúérfestés alátámasztotta a CT-n látottakat, az occludalt jobb coronarian intervenció történt BMS stent beültetésével. A beteg ezt követően stabil állapotban került az intenzív osztályra, ahol az ismételt laborvizsgálat már emelkedett nekroenzimeket mért. Néhány napos megfigyelést követően betegünk panaszmentesen távozott a kórházból.</p>
<p>Milyen esetekben szoktuk alkalmazni tehát a <strong>triple rule out protokoll</strong>t? Elsődleges szerepe a három leggyakoribb heveny mellkasi kórkép – az acut coronaria syndroma, a pulmonaris embolia, valamint az aortadissectio – differenciáldiagnosztikájában van. Nem beszélhetünk azonban a radiológiai gyakorlatban elterjedt rutinvizsgálatról, ugyanis a felvételezéshez szükséges egy megfelelő technikai paraméterekkel rendelkező CT berendezés, valamint a coronariák minél pontosabb leképezéséhez viszonylag alacsony szívfrekvencia is. Egyes tanulmányok szerint nincs egyértelmű diagnosztikai előnye a triple rule out vizsgálatnak a fent említett kórképek diagnosztikájában alkalmazandó protokollokkal szemben.</p>
<p>Mindezek ellenére melyek mégis azok a helyzetek, amikor segítségünkre lehet a triple rule out? Olyan alacsony-közepes cardiovascularis rizikóval rendelkező betegeknél, akiknél az acut mellkasi panaszok nem specifikusak, és megalapozott gyanúja van a coronaria-, szív-, aortabetegségnek, de a pulmonaris embolisatio sem zárható ki egyértelműen. Megfelelő betegnél, nehéz differenciáldiagnosztikai helyzetben tehát a triple rule out egy elegáns és gyors vizsgálati lehetőséget biztosít a klinikus számára.</p>
<p>Dr. Jermendy Ádám és Dr. Maurovich-Horvat Pál</p>
]]></content:encoded>
			<wfw:commentRss>http://www.cardioblog.hu/sziv-ct/triple-rule-out-%e2%80%93-harmat-egy-csapasra/feed/</wfw:commentRss>
		<slash:comments>0</slash:comments>
		</item>
		<item>
		<title>Bal oldali Sinus Valsalva aneurysma</title>
		<link>http://www.cardioblog.hu/sziv-ct/bal-oldali-sinus-valsalva-aneurysma/</link>
		<comments>http://www.cardioblog.hu/sziv-ct/bal-oldali-sinus-valsalva-aneurysma/#comments</comments>
		<pubDate>Sun, 05 May 2013 05:10:25 +0000</pubDate>
		<dc:creator>Sziv_CT_Major</dc:creator>
				<category><![CDATA[Szív CT]]></category>

		<guid isPermaLink="false">http://www.cardioblog.hu/?p=1828</guid>
		<description><![CDATA[Ötvenkét éves nőbeteg 2010-ben jobb oldali hemitünetekkel járó ischaemiás stroke-ot szenvedett el, amelyet sikeresen thrombolysaltak. A kivizsgálás során transoesophagealis echocardiographia az anterolateralis papillaris izomzat mögött a myocardiumban egy 15&#215;16 mm-es, áramlást mutató képletet, valamint közepes fokú aortaregurgitációt írt le. Ennek &#8230; <a href="http://www.cardioblog.hu/sziv-ct/bal-oldali-sinus-valsalva-aneurysma/">Tovább olvasom <span class="meta-nav">&#8594;</span></a>]]></description>
			<content:encoded><![CDATA[<div>Ötvenkét éves nőbeteg 2010-ben jobb oldali hemitünetekkel járó ischaemiás stroke-ot szenvedett el, amelyet sikeresen thrombolysaltak. A kivizsgálás során transoesophagealis echocardiographia az anterolateralis papillaris izomzat mögött a myocardiumban egy 15&#215;16 mm-es, áramlást mutató képletet, valamint közepes fokú aortaregurgitációt írt le. Ennek pontosabb megítélésére szív mágneses rezonancia (MR) vizsgálatot javasoltak, ám tekintettel a beteg panaszmentességére, ez irányban továbblépés nem történt.</div>
<div>2012-ben a beteg bal oldali centralis facialis paresissel és bal oldali hemitünetekkel járó stroke-on esett át, amelyet ugyancsak sikeresen thrombolysaltak. A beteg ezt követően került klinikánkra, ahol szív MR vizsgálatot végeztünk. A szív MR vizsgálat a basalis és részben középső harmadbeli anterior izomzatban, közvetlenül az aortabillentyű síkja alatt indulva, az anterolateralis papillaris izomzatig terjedően 20&#215;20 mm, valamint ezzel összeköttetésben lévő 13&#215;12 mm átmérőjű képleteket mutatott, melyek aortagyökkel való viszonya pontosan nem volt megítélhető. A perfúziós felvételeken áramlás volt bennük detektálható, a bal kamra üregéhez képest kissé megkésve, a nagyvérkörrel azonos fázisban telődve. Késői típusú kontrasztanyaghalmozásos felvételek alapján a képlet perifériás halmozást mutatott.<br />
Az aortagyökhöz való viszonyának pontosabb megítélése céljából mellkasi CT angiographiás vizsgálatot végeztünk, mely a bal coronariás tasak alján pontszerű folytonossági hiányt írt le, melyen keresztül egy többrekeszes, vakon végződő, egyenetlen belfelszínű aneurysma-szerű zsák telődött a bal kamra izomzatában. A kisebbik üreg falán néhány apró meszesedés volt látható.</div>
<div><a href="http://www.cardioblog.hu/wp-content/uploads/Aneu1.jpg" target="_blank"></a>&nbsp;</p>
<div class="mceTemp mceIEcenter"><a href="http://www.cardioblog.hu/wp-content/uploads/Aneu1.jpg" target="_blank"></a>
<dl id="attachment_1829" class="wp-caption aligncenter" style="width: 524px;"><a href="http://www.cardioblog.hu/wp-content/uploads/Aneu1.jpg" target="_blank"></a>
<dt class="wp-caption-dt"><a href="http://www.cardioblog.hu/wp-content/uploads/Aneu1.jpg" target="_blank"></a><a href="http://www.cardioblog.hu/wp-content/uploads/Aneu1.jpg" target="_blank"><img class="size-full wp-image-1829 " title="Aneurysma zsák szájadék" src="http://www.cardioblog.hu/wp-content/uploads/Aneu1.jpg" alt="Kék nyíl jelöli az aneurysma zsák szájadékát" width="514" height="514" /></a></dt>
<dd class="wp-caption-dd">Kék nyíl jelöli az aneurysma zsák szájadékát</dd>
</dl>
</div>
<div id="attachment_1833" class="wp-caption aligncenter" style="width: 710px"><a href="http://www.cardioblog.hu/wp-content/uploads/Aneu21.jpg" target="_blank"><img class="size-large wp-image-1834" title="Aneu2" src="http://www.cardioblog.hu/wp-content/uploads/Aneu21-700x700.jpg" alt="" width="700" height="700" /></a><p class="wp-caption-text">Sárga nyíl az aorta billentyűt, kék nyíl az aneurysma szájadékot, piros nyíl a bal főtörzs szájadékát jelöli.  P: proximalis aneurysmazsák,  D: distalis aneurysmazsák.</p></div>
<div><a href="http://www.cardioblog.hu/wp-content/uploads/Aneu3.jpg" target="_blank"><img class="aligncenter size-full wp-image-1836" title="Aneu3" src="http://www.cardioblog.hu/wp-content/uploads/Aneu3.jpg" alt="" width="584" height="584" /></a></div>
<div>Szívsebészeti konzíliumot követően a diagnosztizált bal oldali sinus  Valsalva aneurysma miatt a beteget elektív műtétre jegyeztük elő. A  műtét során a bal sinus tövében kb. 3x3mm-es aneurysma bemenetet direkt  varrattal zárták, valamint mechanikus aortabillentyű beültetésre került  sor a közepes fokú aortaregurgitáció miatt.</div>
<div id="attachment_1837" class="wp-caption aligncenter" style="width: 700px"><a href="http://www.cardioblog.hu/wp-content/uploads/Aneu4.jpg" target="_blank"><img class="size-full wp-image-1837 " title="Sárga nyíl a bal főtörzs szájadékot, a kék nyíl az aorta műbillentyűt jelöli" src="http://www.cardioblog.hu/wp-content/uploads/Aneu4.jpg" alt="Sárga nyíl a bal főtörzs szájadékot, a kék nyíl az aorta műbillentyűt jelöli" width="690" height="655" /></a><p class="wp-caption-text">Sárga nyíl a bal főtörzs szájadékot, a kék nyíl az aorta műbillentyűt jelöli</p></div>
</div>
<p>Az 5 hónappal későbbi kontroll mellkasi CT angiographiás vizsgálatnál a korábban leírt többrekeszes aneurysma rendszer thrombotizált, kontrasztanyaggal nem telődött. A beteg azóta is panaszmentes.</p>
<p style="text-align: center;">&nbsp;</p>
<div id="attachment_1838" class="wp-caption aligncenter" style="width: 655px"><a href="http://www.cardioblog.hu/wp-content/uploads/Aneu5.jpg" target="_blank"><img class="size-full wp-image-1838 " title="Aneu5" src="http://www.cardioblog.hu/wp-content/uploads/Aneu5.jpg" alt="Postoperatív állapot" width="645" height="574" /></a><p class="wp-caption-text">Postoperatív állapot</p></div>
<p style="text-align: center;">&nbsp;</p>
<p style="text-align: left;">A bal oldali sinus Valsalva aneurysma irodalmi ritkaság, életet veszélyeztető szövődményekkel járhat, mint pl. ruptúra, stroke, myocardialis infarctus; ezért a korai diagnózis és terápia kiemelkedő jelentőségű.</p>
<h5>Dr. Suhai Ferenc Imre és Dr. Maurovich-Horvat Pál</h5>
]]></content:encoded>
			<wfw:commentRss>http://www.cardioblog.hu/sziv-ct/bal-oldali-sinus-valsalva-aneurysma/feed/</wfw:commentRss>
		<slash:comments>0</slash:comments>
		</item>
		<item>
		<title>Step-and-shoot pitvarfibrillációban</title>
		<link>http://www.cardioblog.hu/sziv-ct/sziv-ct-pitvarfibrillacioban/</link>
		<comments>http://www.cardioblog.hu/sziv-ct/sziv-ct-pitvarfibrillacioban/#comments</comments>
		<pubDate>Sat, 05 Jan 2013 17:59:02 +0000</pubDate>
		<dc:creator>Sziv_CT_Major</dc:creator>
				<category><![CDATA[Szív CT]]></category>

		<guid isPermaLink="false">http://www.cardioblog.hu/?p=1648</guid>
		<description><![CDATA[A 70 éves férfi beteg atípusos mellkasi panaszok miatt jelentkezik klinikánkon. Tekintettel a közepes cardiovascularis rizikóra nem invazív coronarographia (Szív-CT) elvégzése mellett döntöttünk. A beteg permanens pitvarfibrillációban szenved, ami azonban az irregularis szívritmus miatt a szív-CT relatív kontraindikációját képezi. A nemzetközi &#8230; <a href="http://www.cardioblog.hu/sziv-ct/sziv-ct-pitvarfibrillacioban/">Tovább olvasom <span class="meta-nav">&#8594;</span></a>]]></description>
			<content:encoded><![CDATA[<p>A 70 éves férfi beteg atípusos mellkasi panaszok miatt jelentkezik klinikánkon. Tekintettel a közepes cardiovascularis rizikóra nem invazív coronarographia (Szív-CT) elvégzése mellett döntöttünk. A beteg permanens pitvarfibrillációban szenved, ami azonban az irregularis szívritmus miatt a szív-CT relatív kontraindikációját képezi. A nemzetközi ajánlás pitvarfibrilláló betegeknél retrospektív EKG kapuzást javasol dózismoduláció nélkül. Ez a scannelési technika kb 20 mSv effektív sugárterheléssel jár.</p>
<div>A széles detektorpanellel rendelkező CT berendezések (256 és több szelet), a gyors felvételezés valamint a modern arrhythmia detekciós algoritmusok segítségével azonban diagnosztikus minőségű képet kaphatunk, akár step-and-shoot felvételezési technikával is. Ezen utóbbi felvételezési technikával a sugárdózis jelentősen csökkenthető (1-5 mSv).</div>
<div><a href="http://www.cardioblog.hu/wp-content/uploads/Fig-1_AF.jpg" target="_blank"><img class="aligncenter size-large wp-image-1649" title="Fig 1_AF" src="http://www.cardioblog.hu/wp-content/uploads/Fig-1_AF-704x114.jpg" alt="" width="700" height="113" /></a></div>
<div>A panel bal oldalán az RR távolságok változása látható a scan időtartama alatt. A pitvarfibrilláció miatt az RR távolságok szabálytalan módon követik egymást. (Szabályos ritmus vízszintes vonalként ábrázolódna). Step-and-shoot felvételezési módot alkalmaztunk és a pirosan jelzett vastagabb szakaszok jelzik a felvételezés időpontjait. A jobb oldali panel az EKG jelet mutatja. Az arrhythmia detekciós algoritmusnak köszönhetően a masodik lépést a scanner megismételte, mivel az systoles fázisra esett.<a href="https://atoth.sote.hu/tikiwiki/show_image.php?id=130"><img class="aligncenter size-full wp-image-1659" title="3D surface shaded volume rendering" src="http://www.cardioblog.hu/wp-content/uploads/2CT1.jpg" alt="" width="509" height="543" /></a></div>
<div>A 3D rekonstrukció, amely jobb domináns, szabályos eredésű és lefutású coronaria rendszert mutat. A képminőség kiváló, érdemi mozgási műtermék nem látható</div>
<div><a href="http://www.cardioblog.hu/wp-content/uploads/Fig-4_LAD2.jpg" target="_blank"><img class="aligncenter size-full wp-image-1653" title="Fig 4_LAD2" src="http://www.cardioblog.hu/wp-content/uploads/Fig-4_LAD2.jpg" alt="" width="694" height="555" /></a></div>
<div>A 2D coronaria &#8220;térkép&#8221; a bal és a jobb coronariakat egy síkban mutatja. Jelentős fokú coronaria atherosclerosis, lumenszűkület biztonsággal kizárható.</div>
<div><a href="http://www.cardioblog.hu/wp-content/uploads/Fig-4_LAD21.jpg" target="_blank"><img class="aligncenter size-large wp-image-1654" title="Fig 4_LAD2" src="http://www.cardioblog.hu/wp-content/uploads/Fig-4_LAD21-700x700.jpg" alt="" width="700" height="700" /></a></div>
<div>A bal elülső leszálló ág (LAD) kanyarodó multiplanáris képe, amelyen a bal főtörzs (LM) oszlásban látható egy kis méretű nem calcificalt plakk. A plakk nem okoz érdemi lumenszűkületet.</div>
<div><a href="http://www.cardioblog.hu/wp-content/uploads/Fig-5_PLB.jpg"><img class="aligncenter size-large wp-image-1655" title="Fig 5_PLB" src="http://www.cardioblog.hu/wp-content/uploads/Fig-5_PLB-704x459.jpg" alt="" width="700" height="456" /></a></div>
<div>A jobb coronaria (RCA) kanyarodó multiplanáris képe, amelyen érdemi atherosclerosis nem ábrázolódik.</div>
<div>A vizsgálat összességében enyhe fokú coronaria atherosclerosist írt le, jelentős fokú stenosis kizárható volt. A betegnél további inavzív vagy nem invazív vizsgálat elvégzésére nincs szükség. Secunder preventios terápia beállítását követően otthonába bocsátottuk.</div>
<h6>Szerzők: Dr. Panajotu A., Dr. Maurovich-Horvat P.</h6>
]]></content:encoded>
			<wfw:commentRss>http://www.cardioblog.hu/sziv-ct/sziv-ct-pitvarfibrillacioban/feed/</wfw:commentRss>
		<slash:comments>0</slash:comments>
		</item>
	</channel>
</rss>
